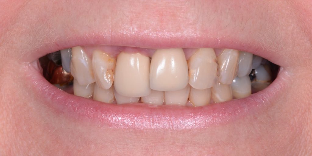
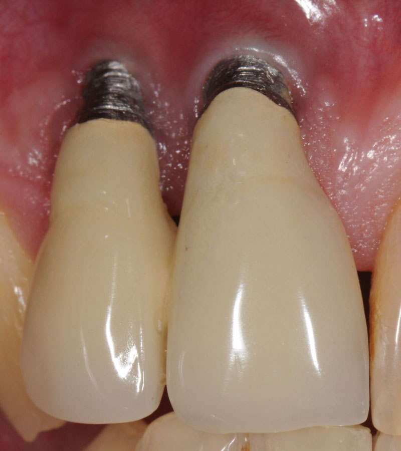
A dental implant is a titanium screw that is placed within the jaw bone under the gum. Once the implant has fused with the bone, the implant is used to fix a crown, bridge or denture that sits above the gum.
Dental implants are considered to be the gold standard treatment for the replacement of missing teeth. They are completely safe and they look, feel and function like your own natural teeth so you can smile and eat with confidence.
The number of dental implants you need depends on the number and position of your missing teeth. Usually one dental implant replaces one missing tooth. However, if you have multiple missing teeth, depending on their location within the mouth, costs can be reduced by making implant-supported bridges and dentures.
We understand that with the cost of living increasing, dental implants need to be more affordable. That’s why here at Acorn Dental we can offer dental implants in Birmingham on finance through monthly payments.
Do you have a failing or missing tooth?We provide dental implant treatment in Birmingham for replacing a single tooth, from £50* per month.
|
Do you have a few failing or missing teeth?We have dental implants treatment in Birmingham for multiple missing teeth, from £80* per month.
|
Are all your teeth failing or missing?We offer treatment to replace all the teeth on your lower or upper jaw, from £200* per month.
|

We’re so proud of our work and the difference it makes to our patients’ confidence and lives. Our Birmingham based dental implant treatment is truly transformational as our patients have reflected in their reviews.
See what our patients from Birmingham, Solihull and Bromsgrove have to say about our dental implants treatment:
I had dental implants & bridge done by Mr Parmar. The experience from the first consultation … Read More
Fantastic service from Dr Parmer and his team, they where really welcoming and made me feel comfo… Read More
I contacted Acorn out of necessity as one of my Primary Teeth had split and fell out. From my ini… Read More
I actually enjoy my visits to Acorn Dental! The Reception staff are so friendly and helpful. Mr P… Read More
As one of the leading dental implant clinics in Birmingham, we often see patients who have had implant dentistry elsewhere that was poorly planned or carried out by inexperienced Implantologists using cheap materials. We never compromise on the quality of materials or standards, and our team is one of the UK’s most experienced.
These are just a few of the reasons why Acorn Dental is the clinic of choice for dentists referring patients for dental implants in Birmingham, Bromsgrove and Solihull. And our expertise is why dental professionals from across the UK refer patients who need complex and advanced procedures.
Contact US to Find Out MoreDental implants are artificial replacements for teeth that have been lost through gum disease, tooth decay, trauma or even teeth that have been missing since birth. A dental implant consists of a titanium screw that replaces the root of a tooth in your jaw bone, on to which a crown is secured to match your other teeth. Multiple implants can provide fixed support for bridges and dentures.
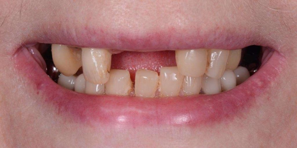
Missing teeth will affect your ability to eat, it may affect your speech and often it impacts your self-confidence. Also once teeth are lost, the bone in which they are embedded gradually disappears because it is no longer required to support the teeth, and this will change your facial volume and profile. It is also worth understanding that when you lose teeth, the remaining teeth are taking the extra load for them, and this may cause them to move and breakdown sooner.
Until recent years, the only options for replacing missing teeth were bridges and dentures. Bridges involve drilling healthy neighbouring teeth and dentures are often loose and cause pain. Unlike dentures or a bridge, a dental implant becomes firmly integrated with your own bone and functions the same as a natural tooth. That means it is stable, permanent, matching to your existing teeth and keeps your jaw bone healthy and maintained.
At your consultation, it will be discussed whether you are suitable for immediate-loading or delayed-loading dental implants. Immediate-loading means that a crown can be placed at the time of implant placement, so our patients in Birmingham, Bromsgrove and Solihull have same-day teeth. Delayed-loading means that the implant is left to heal for around 3-6 months, following which the crown is placed.
Implants are a safe, well established, and predictable way to replace missing teeth providing you are seeing a qualified and experienced surgeon (Implantologist) for your treatment. How well you look after them and whether you go for regular maintenance with a dental hygienist will most definitely impact their durability but given the right care, they should last as long as natural teeth.
The procedure is performed under local anaesthetic so you will not feel any pain during or shortly after the treatment. As the anaesthetic wears off, you may feel some discomfort that is easily soothed with pain-killers.
Implants will not overcome gum disease and although uncommon, this is one of the ways implants can fail. However, implants are still successfully used to replace teeth lost through gum disease providing the disease is brought under control, and meticulous oral hygiene is maintained. It is critical your oral hygiene is of the highest standard, supported by regular visits to the hygienist. We will explain all of this as part of the implant process.
The average cost of a dental implant at Acorn Dental is around £2500, which equates to about £52 a month when financed. Your quote may be slightly less or more depending on the complexity of your case, whether a bone graft or soft tissue graft is required and the grade of final crown you choose to secure to the implant.
Fill in the form and our friendly team will be in touch with you monumentarily
I cannot recommend Acorn Dental, Dr Chiggs & Megan highly enough. From start to finish, my experience has been absolutely exceptional. I completed Invisalign, whitening, and composite bonding, and I … Read More
I couldn’t be happier with the care I received at Acorn Dental Practice during my recent treatment. From the moment I arrived, Amy on reception made a huge difference — I was feeling quite nervous… Read More
I recently visited Acorn Dental in Barnt Green and couldn’t be happier with how it all went. From the moment I arrived, the team were welcoming, calm, and extremely professional, which made a huge d… Read More
I could not give a higher review for the staff and treatment received at the Barnt Green practice. My son had an accident at school and needed long term treatment on his tooth. After meeting Dr Dipesh… Read More
I have received fantastic service from Acorns surgery. Raj is great at explaining options and very thoughtful and patient when undertaking surgery. I am very pleased with the implant I had done which … Read More
Acorn Dental is a multiple-award winning dental centre in the heart of Birmingham committed to the delivery of first-class dentistry.