Acorn for Dentists
Invisalign Hero

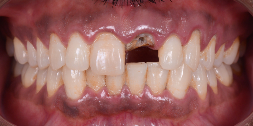
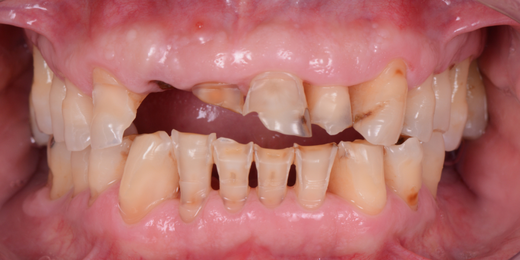
Dental Implants

Rediscover the confidence to smile, eat, and live fully. At Acorn Dental, our dental implants look and feel just like natural teeth — giving you a strong, long-lasting solution for missing teeth.

Your journey begins with a detailed implant consultation, where we use advanced digital imaging to assess your suitability and create a personalised plan. Whether you’re replacing a single tooth or transforming your whole smile, our experienced clinicians guide you every step of the way with clarity and care.

5.0
Google logo

Dental Implants at a Glance

3 Months
From £50/month
0% Finance available
Suitable for single or multiple teeth

Why Choose Us?

Flexible finance options
100s of happy patients
100s of happy patients
Award-winning team
Safe, modern techniques
Three convenient locations

Our Dental Implants Pricing

Dental Implants

From as little as £50 per month

Payment Plans Available

View Full Pricing
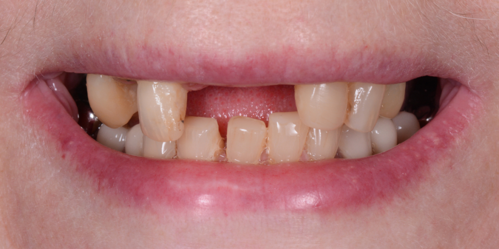
Content Image

Dental Implants Finance Available from only £50 per month.

We believe everyone deserves to smile and eat with confidence. Our dental implants start from just £50 per month, making them more affordable than ever. Choose 0% interest for 12 months or spread payments over 5 years with low-interest plans.

Content Image

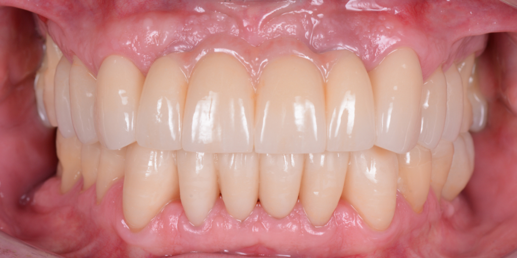
Comfort Every Step of the Way

Your implant journey begins with a detailed consultation, where we take the time to understand your needs and goals. Using the latest digital technology, we carefully plan your treatment to ensure precision and peace of mind. You’ll always feel supported, comfortable, and confident in your care.

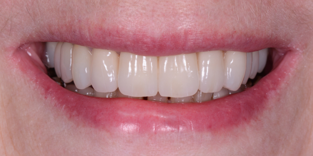
Content Image

Smile, Eat & Speak With Confidence

Dental implants don’t just look natural — they function just like real teeth. Whether you’re eating your favourite foods or smiling for a photo, you can enjoy complete confidence in your everyday life. They are the gold standard for replacing missing teeth.

Ready to book your consultation?

Fill out the form below and our team will get back to you shortly.

Dental Implant FAQs

Is dental implant surgery painful?

Dental implant surgery is generally well-tolerated. At Acorn Dental, we use local anaesthesia to minimise discomfort during the procedure. Some mild soreness or swelling afterwards is normal, but this can be managed with over-the-counter pain relief. Our team provides clear aftercare instructions to support a smooth recovery and are always at hand to address any concerns. 

How long do dental implants last?

Dental implants can last many years with the correct care. At Acorn Dental, we recommend regular check-ups and good oral hygiene to ensure the longevity of your dental implants. Many patients enjoy durable results for 10 to 25 years or more. The lifespan depends on factors like bone health and how well you follow dental implant aftercare instructions.  

Who is a good candidate for dental implants?

A good candidate for dental implants is someone with healthy gums and enough bone density to support the implant, however, with the appropriate preparation, virtually anyone can be suitable. Candidates should be committed to maintaining good oral hygiene and regular dental visits. At Acorn Dental, our team assesses each patient carefully to ensure implants are suitable and to create a personalised treatment plan tailored to your dental needs. 

How long does the entire dental implant process take from start to finish?

The timeline varies depending on your individual needs, but on average, the process takes between 3 to 6 months. This allows time for ‘osseointegration’—where the implant securely fuses with your jawbone. While this may seem like a long time, it is this crucial healing phase that ensures your new tooth is as strong and stable as a natural one. At Acorn Dental, we provide temporary solutions during this period so you’re never left with a gap.

Can I get dental implants if I have experienced bone loss in my jaw?

Yes, in many cases you can. If you have been missing a tooth for a long time, the jawbone can naturally shrink. However, we offer advanced treatments such as bone grafting or sinus lifts to rebuild the foundation of your jaw. We also provide ‘All-on-4’ or ‘Same Day Smile’ techniques that often work for patients with reduced bone density, ensuring almost everyone can enjoy the benefits of a permanent smile.

How do I care for my dental implants—do they require special cleaning?

Caring for an implant is very similar to caring for your natural teeth. You should brush twice a day and floss regularly. However, we do recommend specific interdental brushes to clean around the implant post effectively. Because implants can’t get cavities, the focus shifts to keeping the surrounding gums healthy. Regular visits to our hygienist at Acorn Dental will ensure your implants remain in perfect condition for decades.

What happens if I smoke? Can I still have dental implants?

While smoking doesn’t automatically disqualify you, it can increase the risk of implant failure. Smoking restricts blood flow to the gums, which can slow down the healing process and prevent the bone from fusing with the implant. We always recommend cutting down or quitting before the procedure to give your investment the best possible chance of success. Our team can offer advice and support on how to manage this during your treatment.

Are dental implants noticeable, or will they look like my natural teeth?

Modern dental implants are designed to be virtually indistinguishable from your natural teeth. At Acorn Dental, we use bespoke porcelain crowns that are colour-matched to your surrounding teeth and shaped to fit perfectly within your gum line. Not only will they look natural, but they also function like real teeth, meaning you can eat, speak, and smile with total confidence.

Moseley Barnt Green Blythe Valley Park