Award-winning clinical artistry to design a smile that is uniquely yours.

Explore Our Smile Makeovers

Click here to see what our patients are saying

Book Your Consultation Below

Your dream smile transformation
is just a phone call away

Smile Makeovers in Birmingham, Solihull and Bromsgrove.

At Acorn Dental, we understand that every smile is a signature of your personality. Whether you are dreaming of a simple brightening treatment or a comprehensive reconstruction using advanced techniques, we offer solutions tailored to your specific goals. Led by Dr Manoj Parmar and Dr Dipesh Parmar, our team focuses on more than just aesthetics; we aim to enhance your oral health and prevent premature aging of the facial profile. From restoring natural whiteness to complete structural changes, we are here to help you achieve a radiant, healthy smile you can be proud of.

Why Choose Acorn Dental for Your Smile Makeover?

Same-Day Smile Transformations:

Using the latest clinical advancements, we can often fit a permanent set of natural-looking teeth using dental implants in just one day. This “Same-Day Teeth” protocol is life-changing for patients who are anxious about lengthy treatments or wish to fix their smile with minimal disruption to their daily lives.

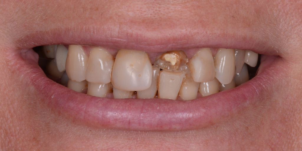
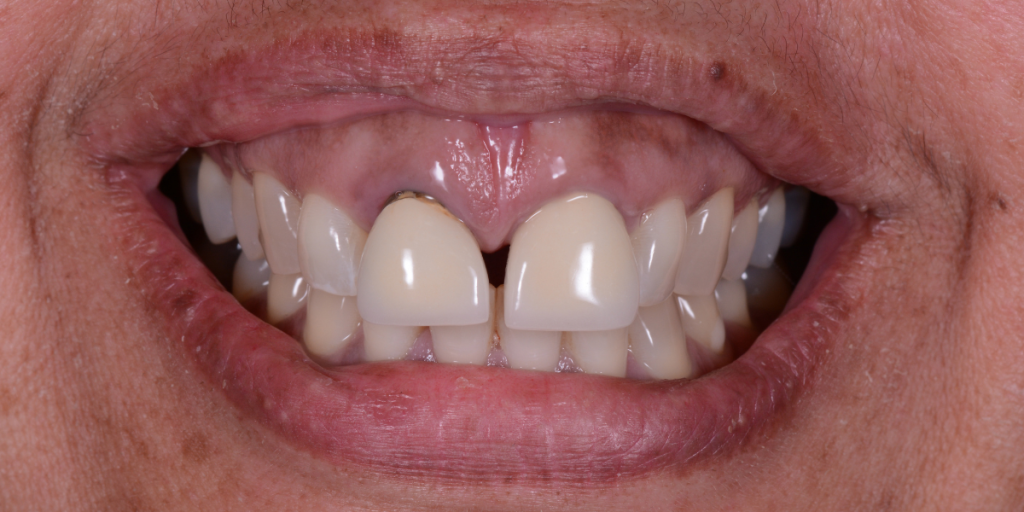
Fixing Broken or Damaged Teeth:

We understand how distressing it can be when your teeth are damaged. At Acorn Dental, we ensure nothing happens until you feel totally confident and relaxed. Our team takes the time to address your concerns, rebuilding your trust while we rebuild your smile. We believe that action conquers fear—let us help you regain your confidence.

Restoring Failed Dental Work:

We take great pride in the art of “rescue dentistry.” For Dr Manoj Parmar, there is nothing more rewarding than the meticulous planning required to fix dental work that hasn’t delivered the results you expected. If you have been let down in the past, we will work with you to restore your smile to exactly what you envisioned.

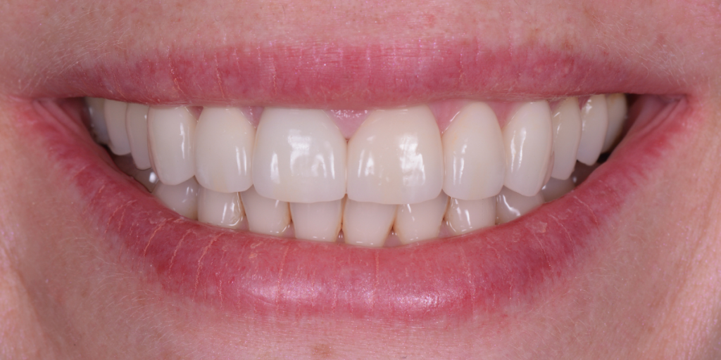
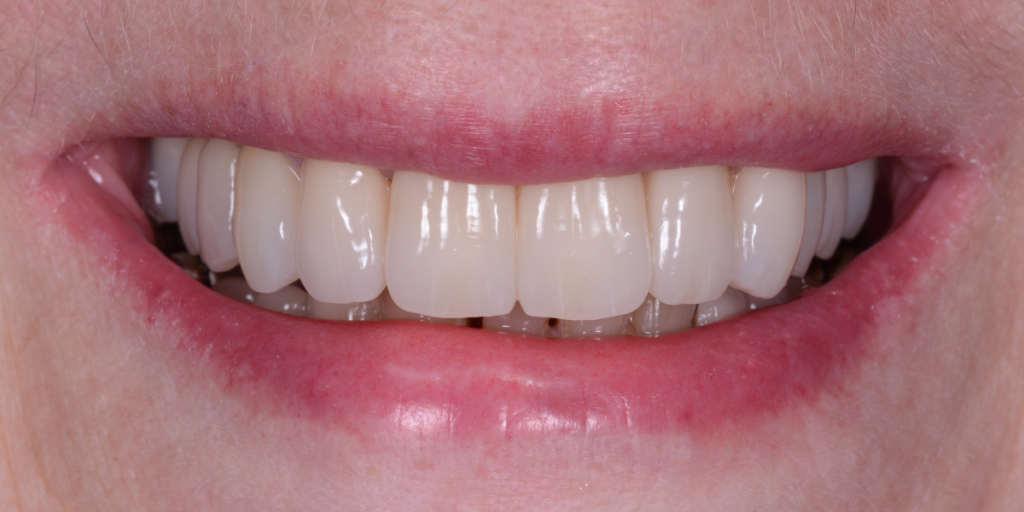
Bespoke Bio-Aesthetic Design:

A true smile makeover is a blend of health and beauty. By using 3D digital scans and collaborating with elite ceramists, we design restorations that complement your natural lip line and facial symmetry.

Hear From Our Patients

What to Expect During Your Makeover Journey

Bespoke, artistically designed smile plan

A calm, specialist-led clinical environment

Life-changing, natural-looking results

Flexible payment options which suit you

Same-Day Teeth: Transform Your Smile in Just One Day

With the latest treatment advancements, we can now fit a permanent set of natural-looking teeth using just 4 implants—and the best part is, the entire procedure can be completed in just one day! This is fantastic news for those who are anxious about lengthy dental treatments or have a fear of the dentist. Whether you need a full smile makeover or are looking for a quicker alternative, we can help you restore your smile with minimal disruption.

Broken or Damaged Teeth: Restore Your Confidence

We understand how distressing it can be when your teeth are broken or damaged. At Acorn Dental, we make sure that nothing happens until you feel totally confident and relaxed. Our experienced team, led by Dr. Manoj Parmar, is dedicated to supporting you every step of the way. We take the time to address your concerns and provide the care needed to rebuild your trust in dental procedures.

We believe that action conquers fear—so take action today and let us help you regain your confidence and feel proud of your smile.

We’re Passionate About Restoring Your Smile

At Acorn Dental, we take great pride in the art of restoring smiles, especially when previous dental work has failed. For Dr. Manoj Parmar, the most rewarding part of his work is the meticulous planning and gradual restoration of teeth for his patients. “Giving someone the smile they’ve always longed for—what could be more rewarding than that?” If you’ve had dental work that hasn’t delivered the results you expected, we can work with you to restore your smile and make it exactly what you want.

Schedule your appointment
with Acorn Dental

Fill in the form and our friendly team will be in touch with you monumentarily

Don’t just take our word for it. We’re rated 5 on Google.

I cannot recommend Acorn Dental, Dr Chiggs & Megan highly enough. From start to finish, my experience has been absolutely exceptional. I completed Invisalign, whitening, and composite bonding, and I … Read More

Platinum Supercar Hire

I couldn’t be happier with the care I received at Acorn Dental Practice during my recent treatment. From the moment I arrived, Amy on reception made a huge difference — I was feeling quite nervous… Read More

John

I recently visited Acorn Dental in Barnt Green and couldn’t be happier with how it all went. From the moment I arrived, the team were welcoming, calm, and extremely professional, which made a huge d… Read More

Tom Dodwell

I could not give a higher review for the staff and treatment received at the Barnt Green practice. My son had an accident at school and needed long term treatment on his tooth. After meeting Dr Dipesh… Read More

Deborah Dillon

I have received fantastic service from Acorns surgery. Raj is great at explaining options and very thoughtful and patient when undertaking surgery. I am very pleased with the implant I had done which … Read More

Sally Beswick

Located in Three Convenient Locations

Acorn Dental is a multiple-award winning dental centre in the heart of Birmingham committed to the delivery of first-class dentistry.

Acorn Dental Moseley

208 Swanshurst Lane, Moseley
Birmingham, B13 0AW
Thursday: 9am – 5:30pm

Acorn Dental Barnt Green

22A Hewell Road, Barnt Green
Birmingham B45 8NE
Thursday: 8:30am – 5:30pm

Acorn Dental Blythe Valley Park

Unit 3, 44 Brambles Crescent, Blythe Valley Park
Solihull B90 8DJ
Thursday: 8:30am – 5:30pm
Moseley Barnt Green Blythe Valley Park