We can’t wait to meet you!
Your Invisalign consultation is designed to give you clarity, confidence, and a clear understanding of how clear aligners can straighten your teeth — with no guesswork or pressure.
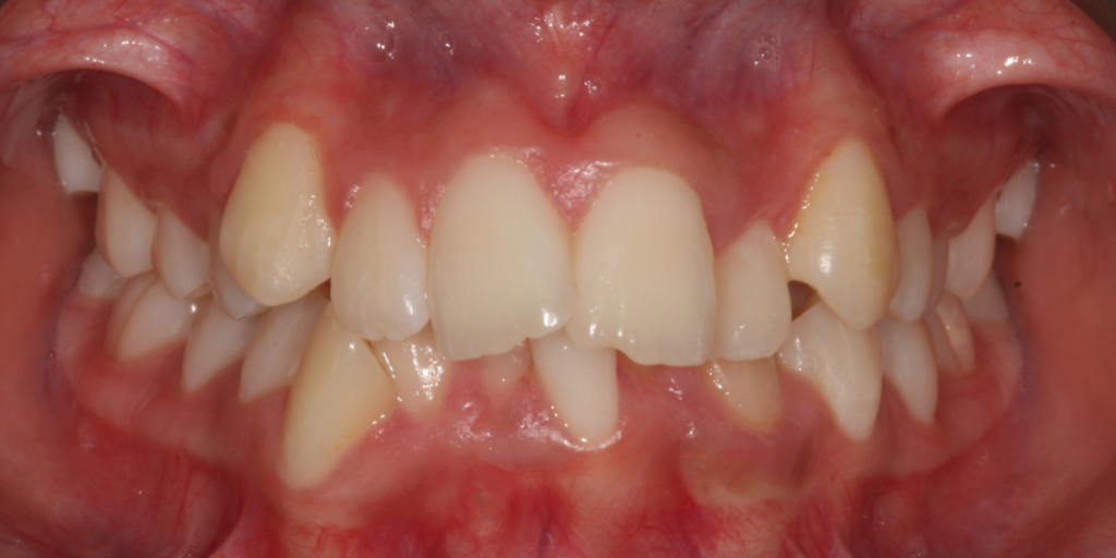
During your visit, your dentist will assess the alignment of your teeth, your bite, spacing, and overall smile, to determine whether Invisalign is the most suitable orthodontic option for you.
We’ll also carry out a full oral health check to ensure your teeth and gums are healthy before treatment begins, identifying anything that may need attention prior to starting aligners.
We take a detailed, personalised approach — carefully assessing your smile to ensure Invisalign can deliver predictable, long-lasting results.
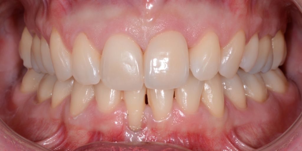
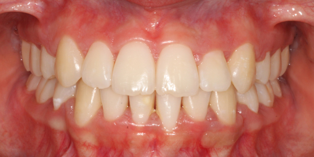
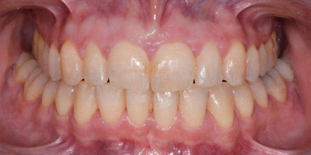
Your consultation allows us to plan treatment accurately, using digital scanning and smile planning to understand how your teeth will move over time.![]()
If Invisalign is suitable, your dentist will explain the process, treatment timeframe, costs, and what’s included — such as retainers and tooth whitening — so you can make an informed decision.
Whether you’re considering teeth straightening for the first time or returning to orthodontic care as an adult, you’ll be supported in a calm, welcoming environment with clear, jargon-free guidance throughout.
Invisalign treatment is priced based on the complexity and length of your treatment plan. During your consultation, we’ll confirm exact costs and explain what’s included, with no hidden fees.
Invisalign® Treatment
From £2,500–£4,500
Payment plans available
Initial Consultation & Assessment We’ll start by discussing your smile goals and assessing your teeth, bite, and alignment to confirm whether Invisalign is the right option for you.
Digital Smile Scan & Planning Using 3D digital scanning, we’ll map how your teeth will move over time and create a personalised Invisalign treatment plan.
Clear Aligner Treatment Once your aligners are ready, you’ll wear a series of custom-made trays, changing them every 1–2 weeks as your smile gradually straightens.
Review Appointments & Final Results We’ll monitor your progress throughout treatment and finish with retainers and tooth whitening to help maintain your new smile.
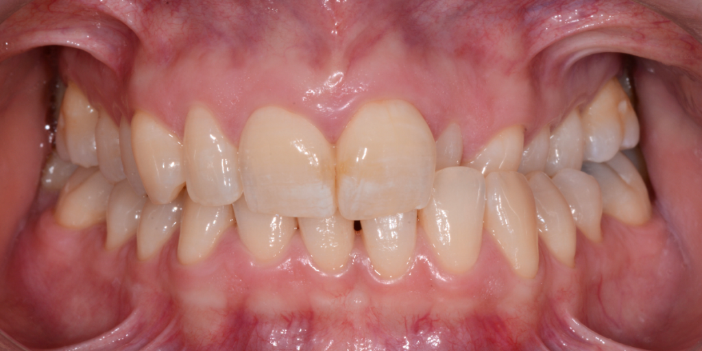
![]()
For over 50 years, Acorn Dental has delivered high-quality dentistry across Birmingham, Bromsgrove, and Solihull, with Invisalign treatment led by experienced clinicians using advanced digital planning and modern orthodontic techniques.
Our Invisalign patients benefit from personalised treatment plans, clear communication, and ongoing support throughout their journey — whether you’re straightening your teeth for the first time or returning to orthodontic care as an adult.
Book Your New Patient Appointment Today
If you’ve been thinking about straightening your teeth — but want a solution that fits comfortably around your life — you’re in the right place. Invisalign offers a discreet, modern approach to orthodontics, guided by a calm, supportive team who put your comfort first.
From clear explanations and digital smile previews to ongoing support throughout treatment, your Invisalign journey is designed to feel reassuring, predictable, and stress-free — with results you’ll feel confident about.
Book Your New Patient Appointment Today
At Acorn Dental, your Invisalign consultation is more than just an assessment — it’s the start of treatment with a highly experienced, supportive, and carefully trained clinical team. With decades of combined experience, advanced digital planning, and a strong focus on patient care, our clinicians are committed to delivering Invisalign treatment to the highest standard.
From precise smile planning and regular progress reviews to retainers and long-term aftercare, your Invisalign journey is managed entirely in-house. You can feel confident knowing your treatment is guided by professionals who prioritise comfort, clarity, and results that last.
Invisalign is a great solution for both adults and teens looking for a virtually invisible alternative to traditional braces. We will evaluate your suitability for Invisalign during your consultation.
Invisalign moves your teeth by applying gentle and constant pressure. Some people do feel temporary discomfort for the first few days of wearing a new set of aligners. Typically, people describe it as feeling pressure and is normal, it’s a sign your Invisalign clear aligners are working.
At Acorn Dental, your comfort, clarity, and confidence come first. Our friendly team is here to guide you through every stage of Invisalign treatment with honest advice and personalised care.
Take the first step toward a straighter, more confident smile — book your Invisalign consultation today.
Book Appointment TodayInvisalign aligners are clear and subtle, so most people won’t notice you’re straightening your teeth — making them ideal for adults who want a low-profile treatment.
Book Appointment TodayWith no brackets or wires, Invisalign aligners are smooth and comfortable to wear. They can be removed for eating, brushing, and special occasions, giving you complete flexibility.
Invisalign uses advanced digital planning to map your tooth movements from start to finish, helping you see and trust the journey toward your new smile.
Book Appointment TodayI cannot recommend Acorn Dental, Dr Chiggs & Megan highly enough. From start to finish, my experience has been absolutely exceptional. I completed Invisalign, whitening, and composite bonding, and I … Read More
I couldn’t be happier with the care I received at Acorn Dental Practice during my recent treatment. From the moment I arrived, Amy on reception made a huge difference — I was feeling quite nervous… Read More
I recently visited Acorn Dental in Barnt Green and couldn’t be happier with how it all went. From the moment I arrived, the team were welcoming, calm, and extremely professional, which made a huge d… Read More
I could not give a higher review for the staff and treatment received at the Barnt Green practice. My son had an accident at school and needed long term treatment on his tooth. After meeting Dr Dipesh… Read More
I have received fantastic service from Acorns surgery. Raj is great at explaining options and very thoughtful and patient when undertaking surgery. I am very pleased with the implant I had done which … Read More
Acorn Dental is a multiple-award winning dental centre in the heart of Birmingham committed to the delivery of first-class dentistry.