Ready to Enhance Your Smile?

Book Your Composite Bonding Consultation

see what our patients are saying

Start Your Smile Transformation

What’s Included in Your Composite Bonding Consultation?

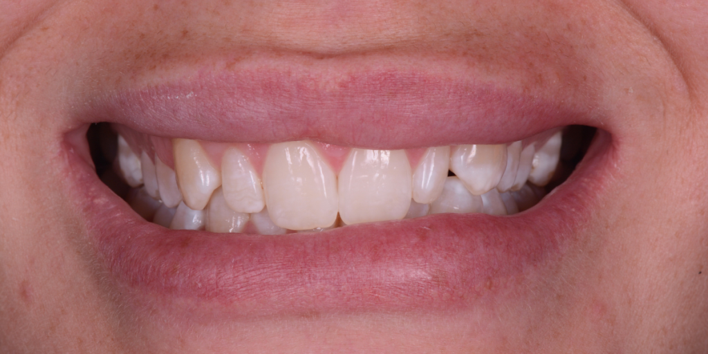
Composite Bonding in Birmingham, Solihull and Bromsgrove

Your composite bonding consultation is designed to give you clarity, confidence, and a clear understanding of how your smile can be enhanced — without unnecessary treatment or pressure.

During your visit, your dentist will assess the shape, colour, alignment, and condition of your teeth, along with your bite and overall smile balance, to determine whether composite bonding is the right option for you.

We will also examine your oral health to ensure your teeth and gums are healthy and suitable for cosmetic treatment, identifying any issues that may need addressing before composite bonding is carried out.

Why Book a Composite Bonding Consultation at Acorn Dental?

We take a detailed, considered approach — carefully evaluating your smile to ensure composite bonding will deliver natural, long-lasting results.

Your consultation allows us to look beyond appearance alone, making sure your bite, enamel, and gum health can support cosmetic treatment safely.

If composite bonding is suitable, your dentist will explain the process, expected results, costs, and maintenance, helping you make an informed decision with no pressure.

Whether you’re exploring cosmetic dentistry for the first time or refining a previous smile treatment, you’ll be supported in a calm, welcoming environment with clear, jargon-free guidance throughout.

Our Composite Bonding Pricing

Composite bonding is a cost-effective way to enhance your smile, with pricing based on the number of teeth treated and the level of detail required. We’ll always explain costs clearly before treatment begins.

Composite Bonding
From £180–£495 per tooth
Payment plans available

What to Expect at Your Appointment

Initial Smile Discussion

We’ll start by talking through what you’d like to change and assessing your teeth, bite, and overall smile to ensure composite bonding is right for you.

Treatment Planning

Your dentist will explain how bonding can improve your smile, outline expected results, and confirm costs and timelines before any treatment begins.

Gentle, Same-Day Treatment

If appropriate, composite bonding can often be completed on the same day, with careful shaping and polishing for a natural finish — usually without injections or drilling.

Aftercare& Next Steps

Before you leave, you’ll receive clear advice on caring for your bonded teeth and guidance on maintaining your results long term.

Rated 5 Stars on Google

Book Your Appointment Today

Why Choose Acorn Dental?

Acorn Dental is trusted by patients for its experienced cosmetic dentists, patient-first approach, and commitment to natural-looking results. We take the time to understand your goals, explain your options clearly, and deliver carefully planned treatments that enhance your smile without overdoing it. With transparent pricing, flexible payment options, and convenient locations across Birmingham, Barnt Green, and Solihull, you can feel confident you’re choosing high-quality cosmetic care in a calm, supportive environment.

Book Your Appointment Today

A Trusted Name in Exceptional Dentistry

With a long-standing reputation for clinical excellence, Acorn Dental is one of the region’s most established and respected dental groups. For decades, our practices have combined advanced techniques, experienced clinicians, and a commitment to exceptional patient care — earning the trust of generations of patients and recognition as a leading name in dentistry across Birmingham, Barnt Green, and Solihull.

Book Your Appointment Today

Dentistry Built Around You

Patients choose Acorn Dental because we combine experience with genuine care. From your first conversation to your final results, you’ll be looked after by a team that prioritises honesty, comfort, and quality at every stage. We invest in modern technology, continuous training, and thoughtful treatment planning to ensure every patient receives dentistry that’s not only effective, but considered, personal, and built to last.

Frequently Asked Questions

What is composite bonding?

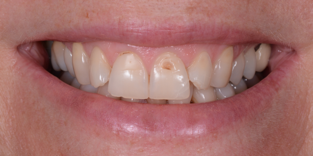
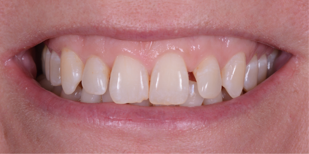
Composite bonding is a cosmetic dental procedure where a tooth-coloured resin is applied to the surface of teeth to improve shape, size, or appearance. The material is carefully shaped and hardened using a curing light, allowing precise adjustments. It is commonly completed in one visit and requires minimal alteration to the natural tooth.

Is composite bonding painful?

Composite bonding is generally very comfortable. In most cases, no injections or drilling are required, and patients can return to normal activities immediately after treatment.

How long does composite bonding last?

With good oral hygiene and regular dental check-ups, composite bonding typically lasts several years. Your dentist will explain how to care for your bonded teeth and when maintenance or repairs may be needed.

Is composite bonding suitable for everyone?

Composite bonding is suitable for many patients with healthy teeth and gums who want to correct minor imperfections. It may not be ideal for those with significant structural damage or heavy bite pressure. A consultation at Acorn Dental helps determine if this treatment aligns with your dental condition and expectations.

What dental issues can composite bonding treat?

Composite bonding can address minor chips, small gaps, uneven edges, discolouration, and worn enamel. It is suitable for improving overall tooth appearance without extensive procedures. At Acorn Dental, it is often recommended for patients seeking subtle adjustments that enhance balance and symmetry across the smile.

Will composite bonding damage my natural teeth?

No. Composite bonding is a minimally invasive treatment that usually requires little to no removal of natural enamel. This makes it one of the most conservative cosmetic options available.

Get Started – Your First Appointment Awaits

At Acorn Dental, your comfort and confidence come first. Our friendly team is dedicated to providing transparent, high-quality care from your very first visit.
Take the first step toward a healthier smile — book today.

Book Appointment Today

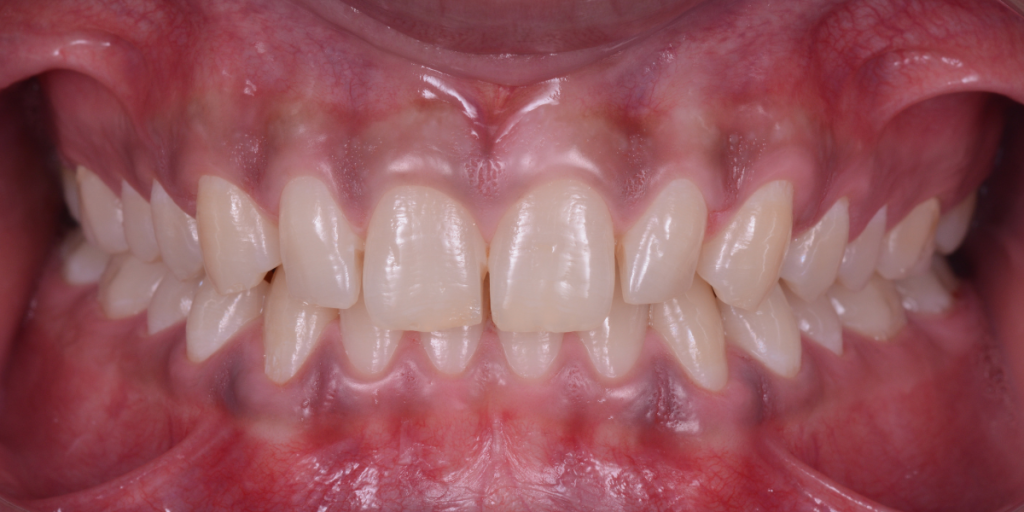
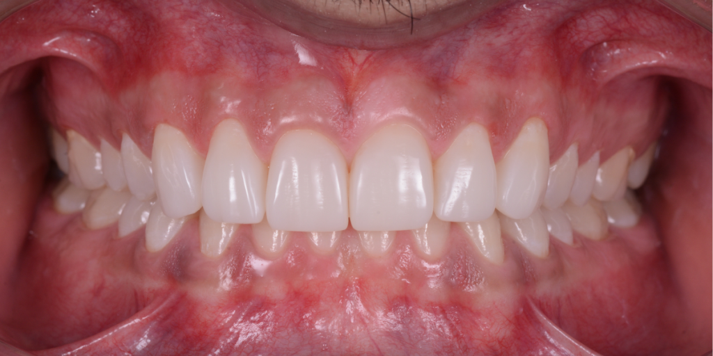
Natural, Subtle Results

Composite bonding is designed to enhance your smile without making it look artificial. Each tooth is carefully shaped and polished to blend seamlessly with your natural teeth.

Gentle, Conservative Treatment

Bonding is one of the least invasive cosmetic options available. With minimal preparation and no permanent changes in most cases, your natural tooth structure is preserved.

Carefully Planned, Personalised Care

Every smile is different. Your treatment is tailored to your teeth, your face, and your goals — ensuring results that feel right for you, not a one-size-fits-all approach.

I cannot recommend Acorn Dental, Dr Chiggs & Megan highly enough. From start to finish, my experience has been absolutely exceptional. I completed Invisalign, whitening, and composite bonding, and I … Read More

Platinum Supercar Hire

I couldn’t be happier with the care I received at Acorn Dental Practice during my recent treatment. From the moment I arrived, Amy on reception made a huge difference — I was feeling quite nervous… Read More

John

I recently visited Acorn Dental in Barnt Green and couldn’t be happier with how it all went. From the moment I arrived, the team were welcoming, calm, and extremely professional, which made a huge d… Read More

Tom Dodwell

I could not give a higher review for the staff and treatment received at the Barnt Green practice. My son had an accident at school and needed long term treatment on his tooth. After meeting Dr Dipesh… Read More

Deborah Dillon

I have received fantastic service from Acorns surgery. Raj is great at explaining options and very thoughtful and patient when undertaking surgery. I am very pleased with the implant I had done which … Read More

Sally Beswick

Located in Three Convenient Locations

Acorn Dental is a multiple-award winning dental centre in the heart of Birmingham committed to the delivery of first-class dentistry.

Acorn Dental Moseley

208 Swanshurst Lane, Moseley
Birmingham, B13 0AW
Wednesday: 9am – 5pm

Acorn Dental Barnt Green

22A Hewell Road, Barnt Green
Birmingham B45 8NE
Wednesday: 8:30am – 5:30pm

Acorn Dental Blythe Valley Park

Unit 3, 44 Brambles Crescent, Blythe Valley Park
Solihull B90 8DJ
Wednesday: 8:30am – 5:30pm

Moseley Barnt Green Blythe Valley Park