We can’t wait to meet you!
Your teeth whitening consultation is designed to give you clarity, confidence, and a clear understanding of how we can safely lift years of staining—with no guesswork or pressure.
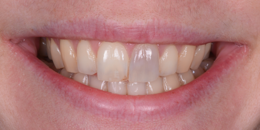
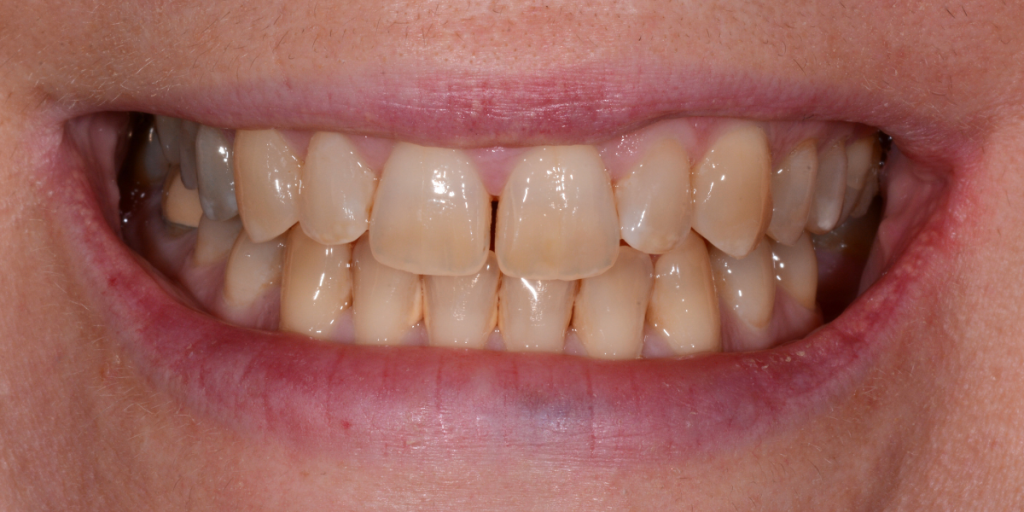
Shade Assessment: During your visit, your dentist will assess the current shade of your teeth and discuss your desired results to determine if professional whitening is the best option for you.
Oral Health Check: We’ll carry out a full oral health check to ensure your teeth and gums are healthy before treatment begins, identifying anything (like sensitive areas or existing fillings) that may need attention.
Bespoke Treatment Plan: If whitening is suitable, your dentist will explain the process, timeframes, and costs—so you can make an informed decision about your transformation.
Personalised Precision: We assess your enamel and staining levels to provide a predictable, long-lasting result.
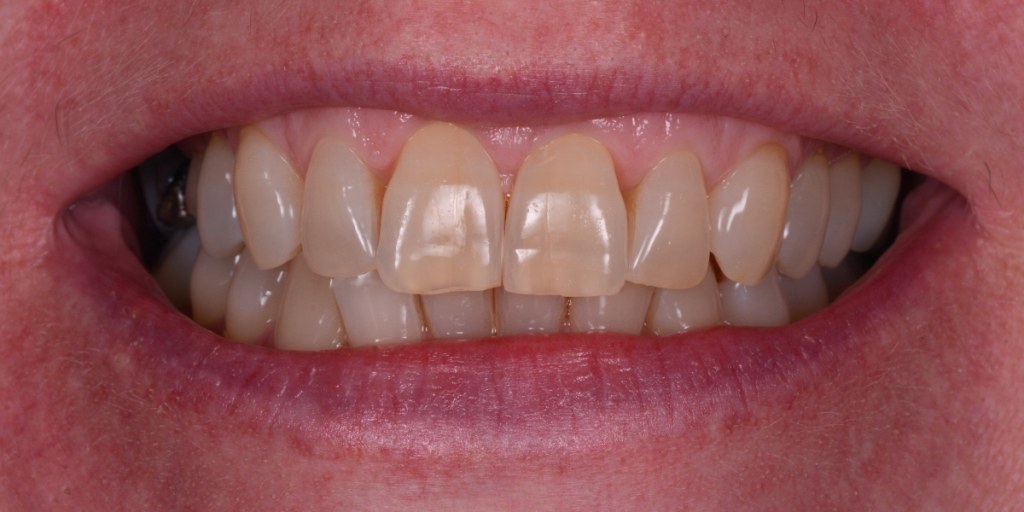
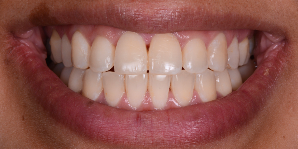
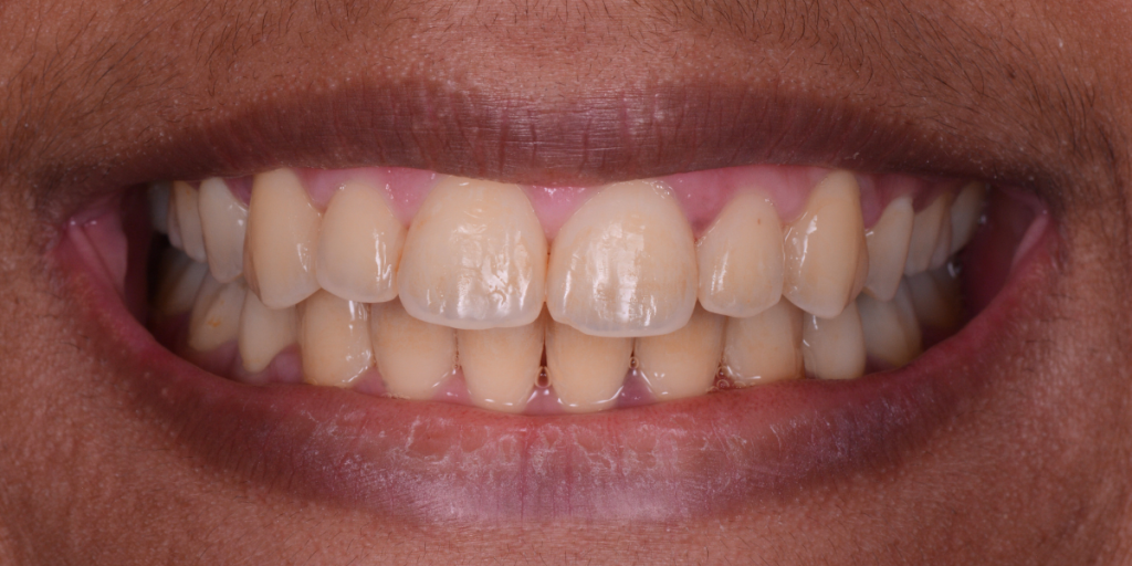
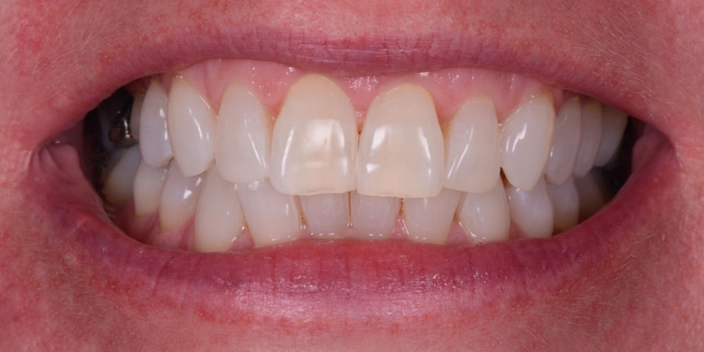
Guaranteed Shade B1: Using Enlighten Evolution, we are the only practice to guarantee the brightest natural shade possible.
Expert Clinical Care: Your treatment is guided by professionals who prioritise your dental health and tooth sensitivity.
World-Class Expertise: Led by Dr Dipesh Parmar, a world-renowned key opinion leader for Enlighten Whitening.
The Offer: Shade B1 Guaranteed Smile.
Price: £395 (Special Offer — Save £200 off RRP £595).
Flexible Appointments: Late evenings and Saturday appointments available.
Your Smile Assessment & 3D Scan
We start with a relaxed chat about your goals. Instead of messy impressions, we use a handheld scanner to create a precise 3D map of your teeth, ensuring your trays fit perfectly and comfortably.
Collect Your Bespoke Kit
Pick up your custom-made trays and professional gels. We’ll show you how to use them and provide our specialised anti-sensitivity formula to keep the process completely comfortable.
The At-Home Transformation
Simply wear your trays overnight for 21 days. As you sleep, the gel gently lifts away years of deep-set staining, revealing a brighter, more radiant shade every morning.
The Final Review & Reveal
We’ll meet for a final check-in to ensure you’ve reached your stunning B1 shade. Wemake sure you’re 100% happy with your glowing new smile before you head out to show it off.
For over 50 years, Acorn Dental has delivered high-quality dentistry across Birmingham, Bromsgrove, and Solihull, with whitening treatments led by experienced clinicians using the world’s most advanced systems. As an Enlighten Centre of Excellence, we specialise in delivering predictable, life-changing results, including a guaranteed B1 shade for our patients.
Our whitening patients benefit from a deeply personalised approach, from our mess-free 3D digital smile mapping to our tailored anti-sensitivity protocols. Whether you are looking for a simple sparkle reset or a complete smile transformation, you’ll receive clear communication and expert support throughout your journey, ensuring you achieve a radiant, long-lasting smile you can feel truly proud of.
Book Your New Patient Appointment Today
At Acorn Dental, your whitening consultation is more than just an assessment — it’s the start of a transformation with a highly experienced, supportive, and carefully trained clinical team. With decades of combined experience, advanced 3D digital mapping, and a strong focus on patient care, our clinicians are committed to delivering teeth whitening to the highest professional standard.
From precise shade planning and bespoke tray design to specialised anti-sensitivity care and long-term maintenance, your whitening journey is managed entirely in-house. You can feel confident knowing your treatment is guided by professionals who prioritise your comfort, enamel health, and results that stay bright for years to come.
Yes, when carried out by a qualified dentist, teeth whitening is safe. At Acorn Dental, we use the clinically proven Enlighten Whitening system, which is formulated to minimise sensitivity and protect your enamel.
At Acorn Dental, we use the Enlighten Whitening system, designed for a comfortable and largely pain-free experience. Most patients report minimal or no sensitivity during treatment. The trays are custom-made to fit your teeth precisely, ensuring the whitening gel is applied safely and evenly.
At Acorn Dental, teeth whitening involves wearing custom-made trays filled with a special whitening gel. The trays fit comfortably over your teeth and are worn nightly for 21 days. The gel works by gently breaking down surface stains, gradually lightening the colour of your teeth.
Yes, we offer Internal Bleaching for teeth discoloured by trauma.
At Acorn Dental, your comfort, clarity, and confidence come first. Our friendly team is here to guide you through every stage of your whitening treatment with honest advice and personalised care to ensure you achieve your brightest natural shade.
Take the first step toward a radiant, more confident smile — book your professional whitening consultation today.
Book Appointment TodayYour treatment is overseen by qualified dentists using clinically proven, enamel-safe systems. We prioritise your dental health to ensure beautiful, worry-free results that protect your smile.
Book Appointment TodayExperience Enlighten Evolution, the world’s only system to guarantee the brightest natural shade (B1), regardless of your starting point. Achieve a radiant result that looks both stunning and natural.
With our expert guidance and simple home maintenance, your bright new smile is designed to last for years. We provide everything you need to keep your sparkle long after your treatment is finished.
Book Appointment TodayI cannot recommend Acorn Dental, Dr Chiggs & Megan highly enough. From start to finish, my experience has been absolutely exceptional. I completed Invisalign, whitening, and composite bonding, and I … Read More
I couldn’t be happier with the care I received at Acorn Dental Practice during my recent treatment. From the moment I arrived, Amy on reception made a huge difference — I was feeling quite nervous… Read More
I recently visited Acorn Dental in Barnt Green and couldn’t be happier with how it all went. From the moment I arrived, the team were welcoming, calm, and extremely professional, which made a huge d… Read More
I could not give a higher review for the staff and treatment received at the Barnt Green practice. My son had an accident at school and needed long term treatment on his tooth. After meeting Dr Dipesh… Read More
I have received fantastic service from Acorns surgery. Raj is great at explaining options and very thoughtful and patient when undertaking surgery. I am very pleased with the implant I had done which … Read More