Missing all teeth in one or both arches can make daily life challenging.
From eating to speaking and confidence, it impacts everything. At
Acorn Dental, we offer advanced solutions to help you regain a full,
natural-looking smile, enhancing both function and quality of life.
Restore Your Smile and Confidence with Lasting Solutions: Dentures | Overdentures | All-on-4 & All-on6 | Mulitple Implant Bridges

Conventional dentures are custom-made removable sets of teeth that sit comfortably on your gums. They’re often the most affordable solution for missing teeth, making them an option for many. However, they may need adhesives for stability and may shift during eating or speaking. Our team can craft high-quality dentures that look natural, allowing you to smile, eat, and talk with confidence.
For those seeking a more secure alternative to conventional dentures, implant-supported dentures, or overdentures, offer greater stability. Attached to dental implants, these dentures snap into place, giving you peace of mind without fear of movement. Though they’re removable, overdentures provide a firmer fit, which can help you enjoy a wider range of foods and feel more at ease in social settings.


The All-on-4 or All-on-6 method replaces an entire arch of teeth with just four or six strategically placed implants. In one appointment, we can remove any remaining problem teeth, place the implants, and attach a temporary set of teeth. This means you can walk out with a fully fixed smile in a single day. The permanent teeth are fitted later once healing is complete. With our own lab, we provide a predictable and reliable full turnkey service, ensuring natural-looking results.
For patients needing a comprehensive restoration, multiple implant bridges offer a secure and long-lasting solution. With this approach, implants support multiple fixed bridges, providing a full arch of natural-looking teeth that feel and function just like real ones. This method allows for a firm, stable fit, enabling you to eat, speak, and smile confidently. Multiple implant bridges ensure durability and aesthetics, offering a solution that feels as close to natural teeth as possible.

If missing teeth or traditional dentures are impacting your life, we’re here to discuss the right implant-based solution for you. Book a consultation at Acorn Dental in Birmingham today, and let us help you find the perfect option for your needs and lifestyle. With flexible payment plans available, a new smile might be closer than you think.
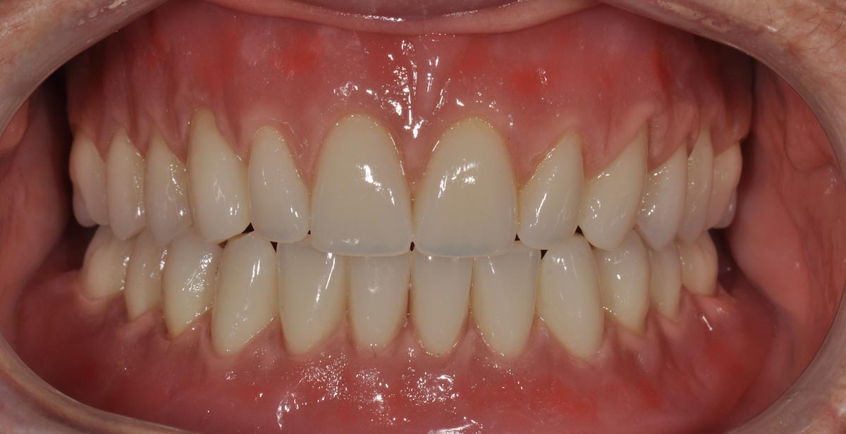
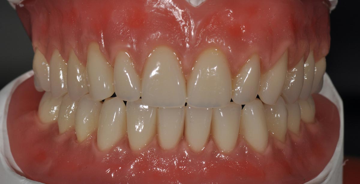
This patient presented with old loose worn dentures. Unfortunately, she didn’t have enough bone for implants, so we decided to make her another set of dentures using bespoke teeth and gum artistry.
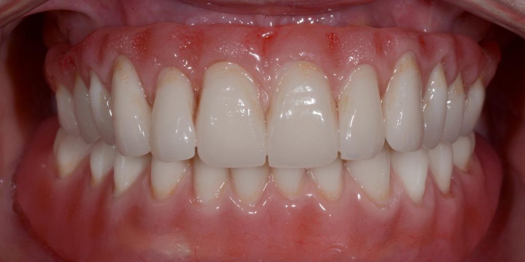
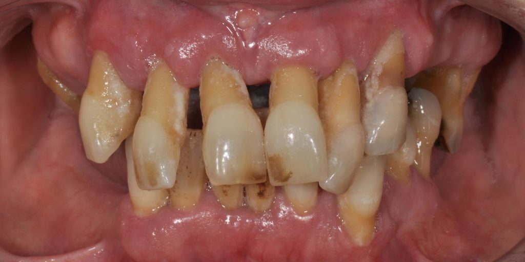
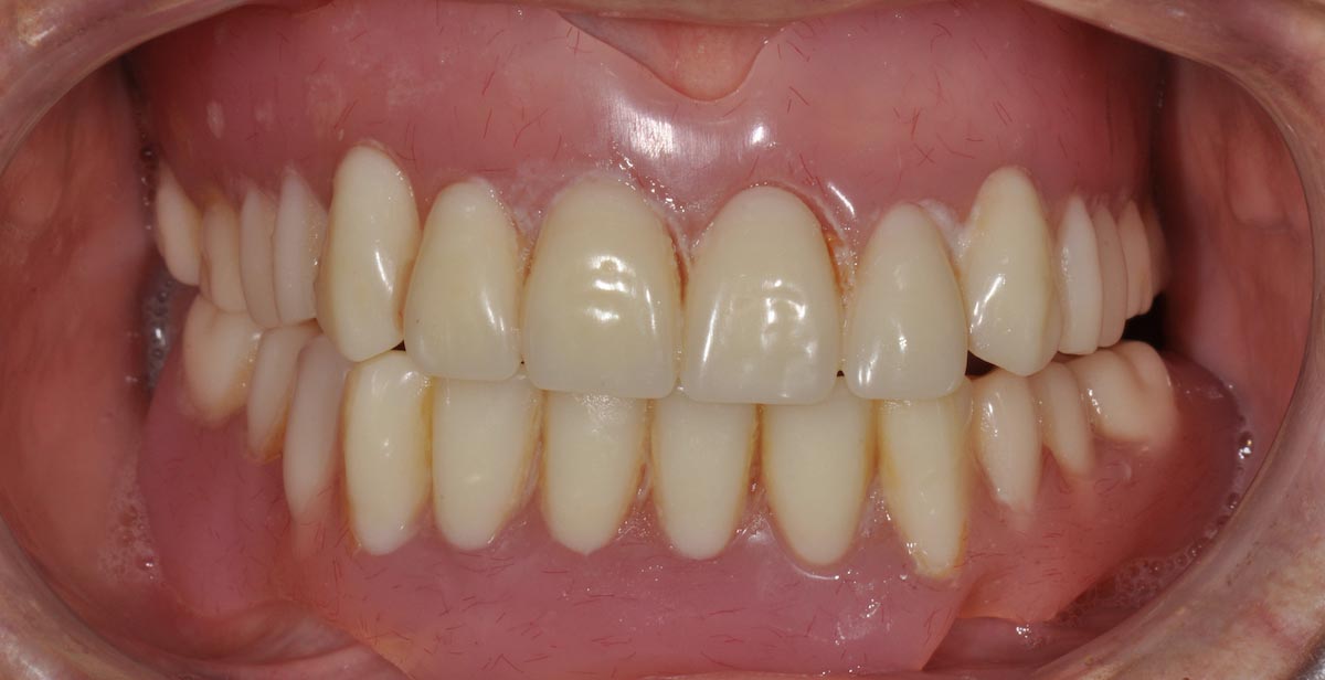
This patient unfortunately presented with advanced gum disease, and all teeth needed to be removed. In the upper jaw, we utilised the All-on-4 concept by securing a fixed dental bridge on 4 dental implants. In the lower jaw, we constructed a removable overdenture supported by 2 implants.
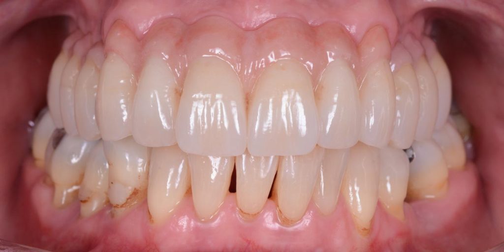
This patient too presented with advanced gum disease, and all upper teeth needed to be removed. We were able to place 6 implants and have 3 fixed bridges secured to restore full function and aesthetics.
Several options exist for replacing all missing teeth, including conventional dentures, implant-supported dentures, All-on-4 or All-on-6 fixed bridges, and multiple implant bridges. Each option has unique benefits to suit different needs and budgets.
Dental implants provide a stable base for replacement teeth, offering secure, natural-looking solutions for patients missing all teeth. Options like All-on-4 and multiple implant bridges allow you to enjoy fixed teeth that look and function like natural teeth.
Yes, with the All-on-4 or All-on-6 technique, many patients can leave the dental clinic with fixed, temporary teeth on the same day as their implant surgery. This solution provides immediate aesthetics and function while awaiting the permanent restoration.
mplant-supported dentures are dentures that attach to implants rather than resting on the gums. This secure fit prevents slipping, making it easier to eat and speak confidently, unlike regular dentures which can move and may need adhesives.
Both All-on-4 and All-on-6 are effective solutions for replacing all missing teeth. The choice depends on individual factors, such as jawbone density. Your dentist will recommend the most suitable option for a stable, fixed smile.
Yes, affordable options like conventional dentures or implant-supported overdentures can replace all missing teeth. Acorn Dental also offers flexible payment plans, making treatments accessible for various budgets.
Recovery varies, but most patients can resume normal activities within a few days after implant placement. Full healing for the implants to fuse with the bone may take a few months before the permanent teeth are fitted.
Yes, options like the All-on-4 technique are designed for patients with bone loss, as the implants are angled to maximise contact with existing bone, often eliminating the need for bone grafting.

If you are interested in any of our treatments please do not hesitate to get in touch with us by filling out the form – one of our team members will get back to you as soon as possible.