Invisalign involves a series of clear, removable aligners each one being worn for 1-2 weeks then changed for the next aligner, gradually moving your teeth to the desired end goal.
All aligners are bespoke for each patient to achieve a beautiful natural smile.

With Invisalign your dentist can take precise 4D digital scans of your teeth and show you a simulation of what the end result will look like before you commit to treatment. We will work with you to map out a treatment plan that you are happy with.
Our team of Invisalign dentists in Birmingham will assess your suitability and discuss the Invisalign treatment.
We will take 4D iTERO digital scans of your teeth, show you a simulation and work with you to design your new straighter teeth.
Wear your aligners according to your Invisalign treatment plan and watch your teeth gradually straighten.
Enjoy your new teeth straightening treatment in Birmingham and get free Enlighten whitening and removable retainers worth £695!
The key to success in treatment is choosing the correct appliance for the individual case. Our world-renowned Dentist, Dr Dipesh Parmar, has a Masters Degree in Orthodontics and is highly trained in both Invisalign and fixed braces. Without bias, Dr Parmar will advise you on what is best for your teeth, smile and health.

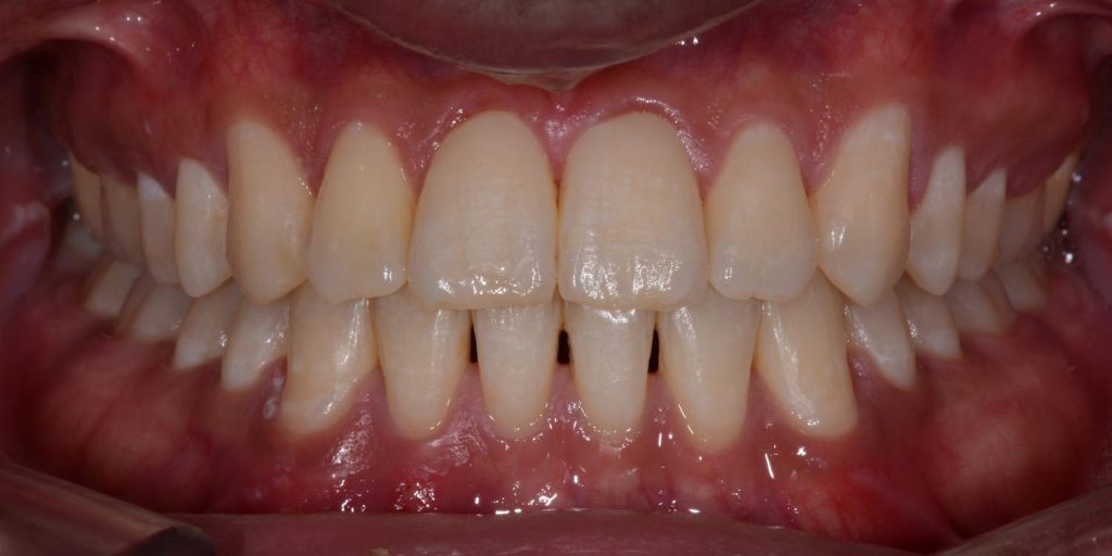
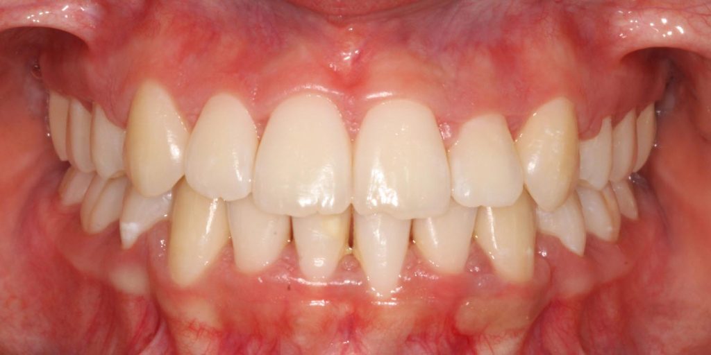
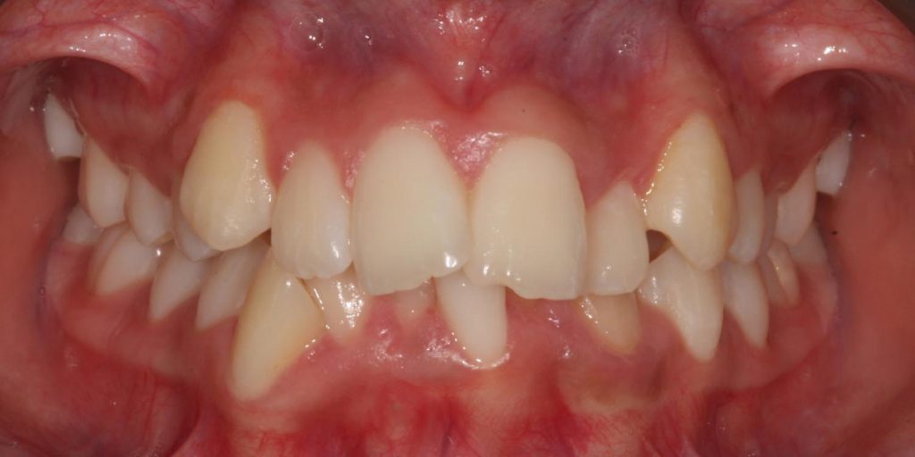
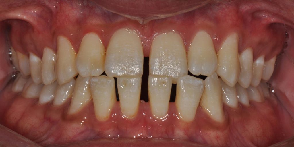
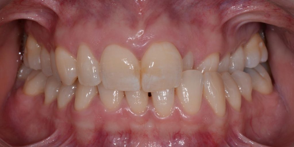
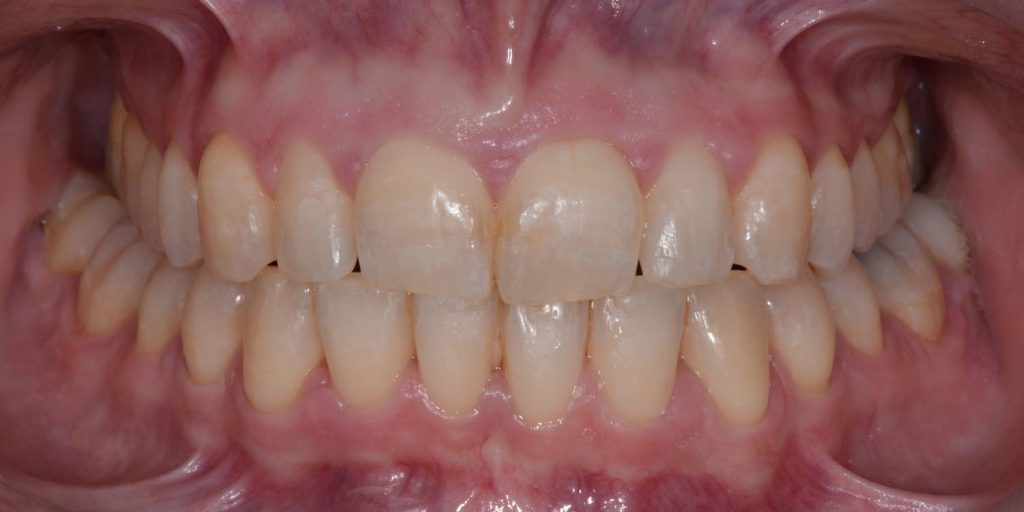
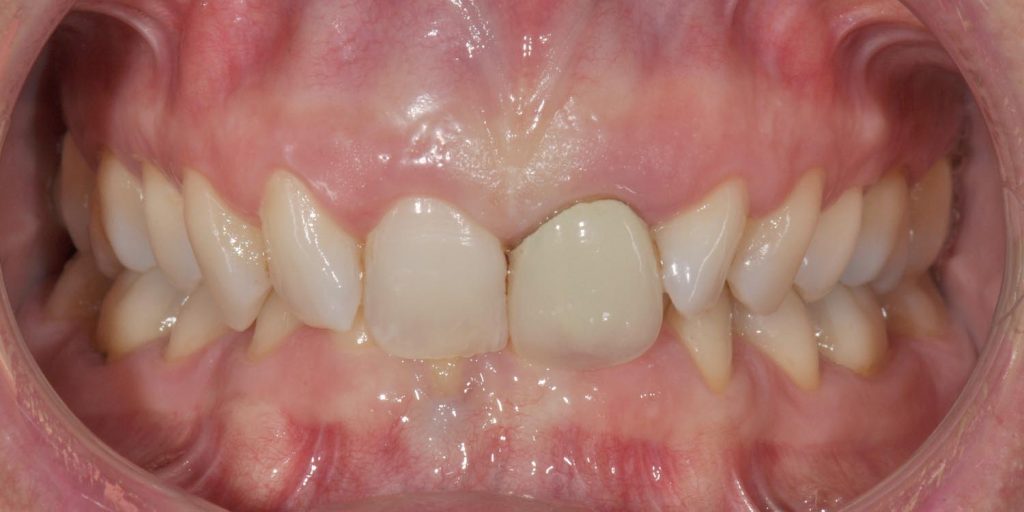
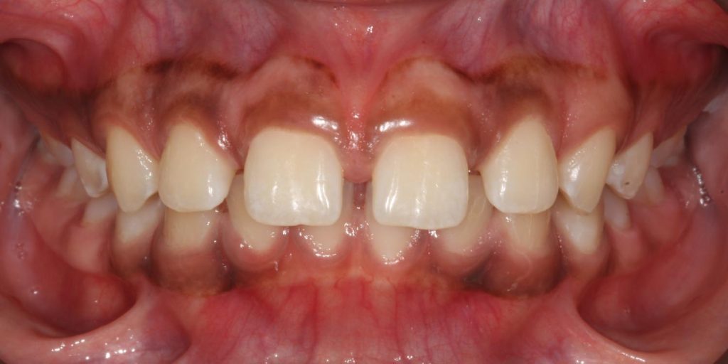
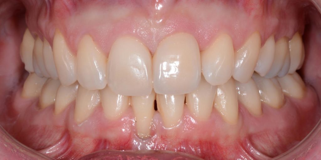
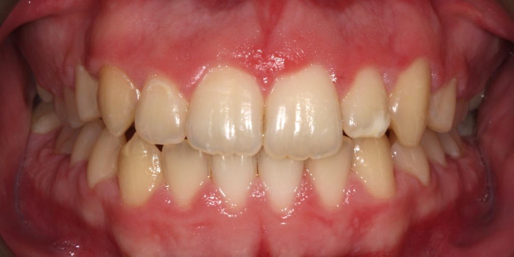
Don’t just take our word for it. Check out some of our before and after Invisalign cases.
Every smile is unique so every Invisalign treatment journey is different. As a guide, Invisalign can usually cost between £2,500 and £4,500 depending on your treatment options and complexity.
At Acorn Dental, you can get up to £1000 off on all our Invisalign treatments. Our treatment is quite affordable via various finance options with 0% interest rate.
| Term of Loan | 12 Months | 24 Months | 36 Months | 48 Months | 60 Months |
|---|---|---|---|---|---|
| Treatment Cost | £4000 | £4000 | £4000 | £4000 | £4000 |
| Deposit | £0 | £0 | £0 | £0 | £0 |
| Amount of Credit | £4000 | £4000 | £4000 | £4000 | £4000 |
| Representative APR | 14.9% | 14.9% | 14.9% | 14.9% | 14.9% |
| Monthly Repayment | £359.09 | £191.99 | £136.65 | £109.24 | £93.01 |
| Total Amount Repaid | £43318.80 | £4607.76 | £4919.40 | £5243.52 | £5580.60 |
Fill in the form and our friendly team will be in touch with you monumentarily
I cannot recommend Acorn Dental, Dr Chiggs & Megan highly enough. From start to finish, my experience has been absolutely exceptional. I completed Invisalign, whitening, and composite bonding, and I … Read More
I couldn’t be happier with the care I received at Acorn Dental Practice during my recent treatment. From the moment I arrived, Amy on reception made a huge difference — I was feeling quite nervous… Read More
I recently visited Acorn Dental in Barnt Green and couldn’t be happier with how it all went. From the moment I arrived, the team were welcoming, calm, and extremely professional, which made a huge d… Read More
I could not give a higher review for the staff and treatment received at the Barnt Green practice. My son had an accident at school and needed long term treatment on his tooth. After meeting Dr Dipesh… Read More
I have received fantastic service from Acorns surgery. Raj is great at explaining options and very thoughtful and patient when undertaking surgery. I am very pleased with the implant I had done which … Read More
Acorn Dental is a multiple-award winning dental centre in the heart of Birmingham committed to the delivery of first-class dentistry.