Our professional teeth whitening treatment in Wolverhampton is a simple and effective way to improve your smile and is only £395 (RRP £595).

Teeth whitening or dental bleaching is a safe, effective and inexpensive way to whiten and brighten the colour of your teeth. The procedure involves wearing custom-made trays that fit over your teeth into which the bleaching gel is placed. The trays are usually worn every night for 21 days.
Enlighten Evolution Whitening is the world‘s best performing teeth-whitening treatment.
No pain. More gain.

Book a Consultation. Digital scans are taken of your teeth to make bespoke whitening trays.
Collect your whitening trays and wear them overnight with a whitening gel for 3 weeks.
Visit your teeth whitening dentist in Birmingham for a final appointment to check the results.
Smile in confidence with your new whiter teeth for only £395, (RRP £595).
If a tooth has been knocked or injured, the trauma can cause the nerve to die and result in a single dark dead tooth. The teeth can show discolourations ranging from dark yellow, brown to grey tones. If you have a discoloured dead tooth, these can be whitened using Internal Bleaching techniques where the whitening gel is applied to the internal surfaces of the dark teeth.



The key to success in treatment is choosing the correct appliance for the individual case. Our world-renowned Dentist, Dr Dipesh Parmar, has a Masters Degree in Orthodontics and is highly trained in both Invisalign and fixed braces. Without bias, Dr Parmar will advise you on what is best for your teeth, smile and health.

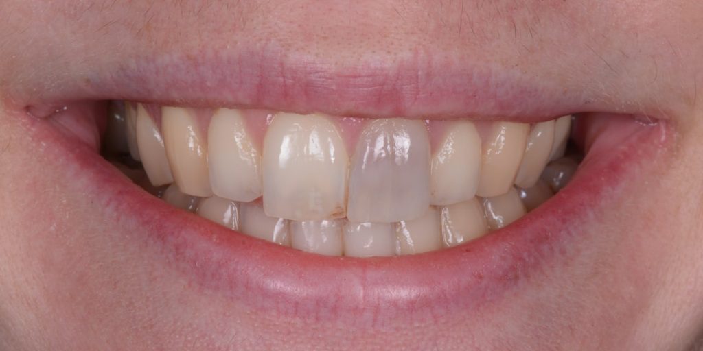
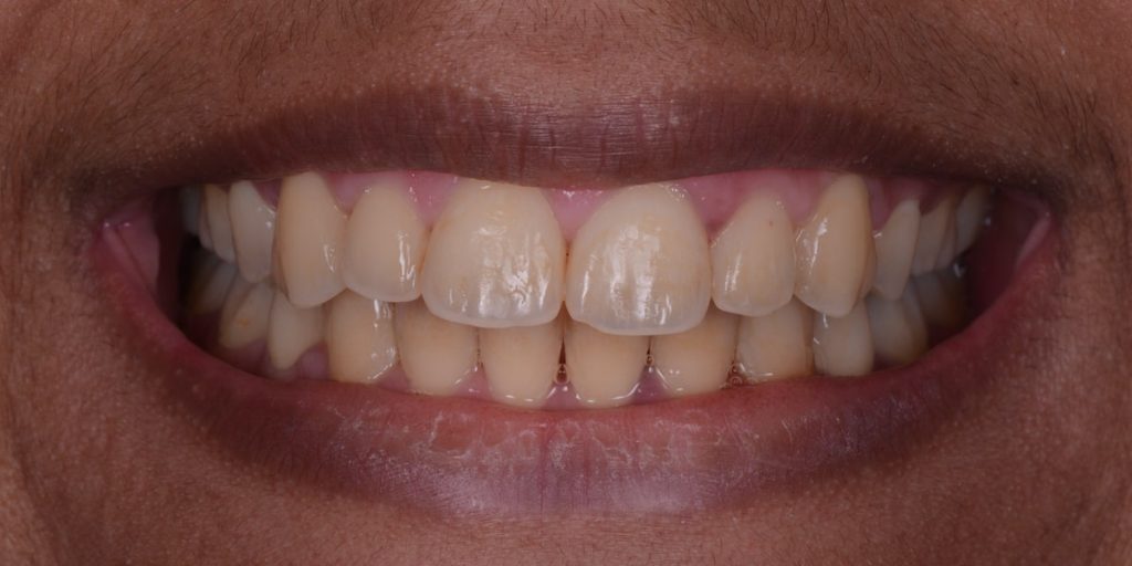
Check out some of our before and after teeth whitening cases with Enlighten.

If you are interested in any of our treatments please do not hesitate to get in touch with us by filling out the form – one of our team members will get back to you as soon as possible.
Enlighten whitening can whiten up to 16 shades. Results vary, but if used correctly all teeth will whiten dramatically. Natural teeth rarely look too white. Smiles that have an all white appearance are usually because they have porcelain veneers or crowns.
No, sometimes you need to change some of these after you have had your whitening, therefore its suggested to have your whitening completed before any treatment.
It is completely safe. The materials used in Enlighten Whitening have been used in dentistry for over 100 years. You may get some sensitivity however your dentist will provide you with the desensitising swabs which work immediately. You will also receive a tube of serum toothpaste to brush with whilst you wait for your trays. This also helps with sensitivity.
Once your digital scans have been taken it will take two weeks for your trays to be delivered. They are thin and comfortable and must be worn for 21 days, on the 22nd day your dentist may see you for a review.
Results can last indefinitely with some very simple maintenance, wearing the trays for 1 night every month and continuing to brush with the tooth serum will also prolong results.
The active ingredient passes through the dental enamel, breaking down stains by chemical oxidation. The process can take some time so it is important to finish the treatment as directed by your dentist.